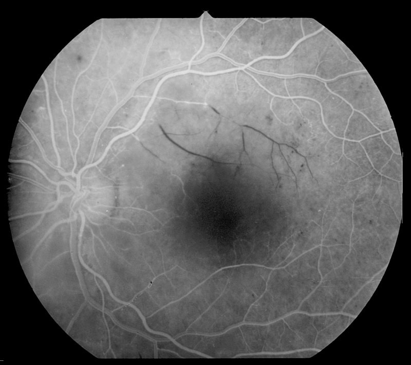
Dnia 16 listopada dr Leszek Pyziak wygłosił seminarium pt.: "Przegląd algorytmów wykrywania wczesnych zmian chorobowych charakterystycznych dla retinopatii cukrzycowej".
W oparciu o literaturę zostały przedstawione etapy wykrywania zmian chorobowych w retinopatii cukrzycowej wraz z przykładowymi algorytmami.
Wyszczególnione zostały trzy etapy analizy zdjęć siatkówki oka: algorytmy polepszenia jakości zdjęć, wyodrębnienia struktur anatomicznych w analizowanych zdjęciach oraz wyszukiwania zmian chorobowych (mikrotętniaki, wysięki twarde,...).



